近日,国际顶级学术期刊Nature刊发了新盛娱乐 卢策吾教授团队及合作者在行为理解方面的研究成果(Cortical Ensembles Orchestrate Social Competition through Hypothalamic Outputs),该论文两位共同通讯作者为新盛娱乐 卢策吾教授与Salk研究院Kay M. Tye教授,是继近年来Alphafold等一系列人工智能基础科学前沿交叉(AI for Science)工作后的又一进展。

基于计算机视觉与机器学习的行为神经机制解析
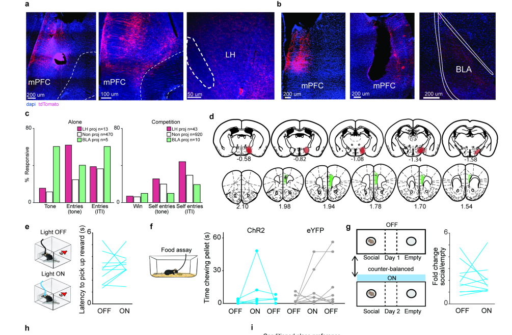
该成果基于计算机视觉技术定量阐释了机器视觉行为理解与脑神经的内在关联,并首次建立了其稳定映射模型,形成基于大规模计算机视觉行为检测-脑神经信号关联发现行为神经回路的新研究范式。基于该机器学习模型,联合团队深入解析了“社会层级”(Social Hierarchy)行为神经控制机理(比如,低等级小鼠会让高等级小鼠优先进食,低等级小鼠会表现出服从行为)。“社会层级”(Social Hierarchy)一直是学界重要问题,即哺乳动物是如何判断其他个体与自己的社会群体地位高低的?其背后的神经控制机制是怎么样的?我们在大规模的小鼠群体竞争视频中,定位 “社会层次”行为,并同时记录到社会等级行为的脑部活动状态,深度解析了社会等级行为在大脑中的形成机制,即发现内侧前额叶皮层-外侧下丘脑(mPFC-LH)回路具有控制社会层次行为的功能,并得到严格生物学实验的证实。该研究形成了基于机器视觉学习发现未知行为功能神经回路的新研究范式。

视觉行为检测-脑神经信号关联模型

卢策吾团队围绕行为理解主要工作
卢策吾团队人工智能研究
卢策吾团队长期从事人工智能研究,围绕行为理解开展,从机器认知角度:研究如何让机器看懂行为;从神经认知角度:研究机器认知语义与神经认知的内在关联;从具身认知角度,研究如何将行为理解知识迁移到机器人系统。取得多项研究成果如图3所示,此次Nature成果正是卢策吾团队行为理解成果的一部分。
前沿科技高质量发展,推进科技自立自强,为新盛娱乐 科研点赞!
文章链接://www.nature.com/articles/s41586-022-04507-5
来源丨计算机系